科研成果
首页  -  招生就业  -  科研成果  -  正文
【科研动态】生命学院张贤钦教授团队发现儿童白内障新致病基因

作者:编辑:何雪梅 时间:2024-08-22 点击量:

2024年8月遗传学领域权威刊物《Human Genetics》杂志在线发表了williamhill英国生命学院张贤钦教授团队在先天性白内障遗传基础和致病机制方面的最新研究成果GBF1 deficiency causes cataracts in human and mouse。

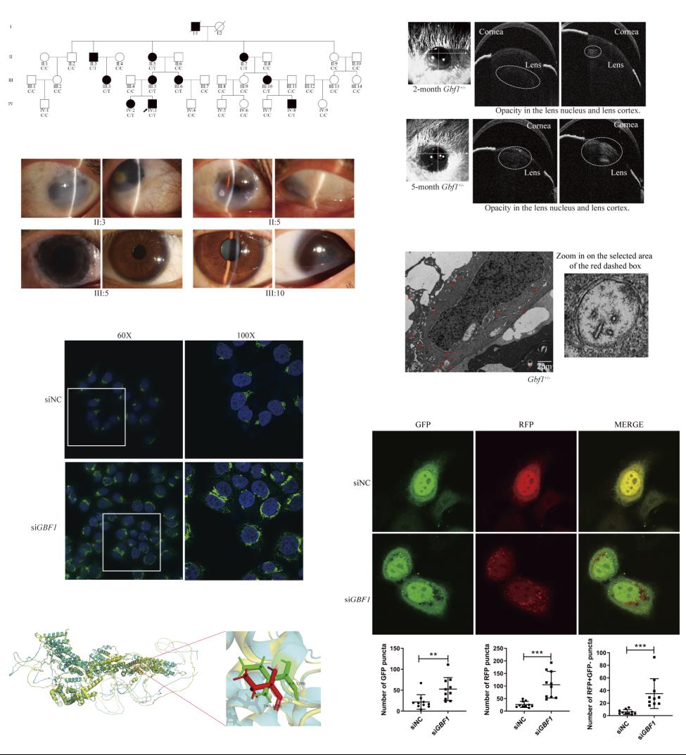
白内障是全球首位致盲性眼病。据统计,全球约有4500万盲人,其中一半是因白内障而致盲。据中华医学会眼科学分会统计,我国60岁以上人群白内障发病率约为80%,我国白内障患者人数达2.08亿,白内障的发病年龄也由过去的六七十岁,下降到现在的四五十岁。儿童白内障可导致儿童视力减退、视物模糊、屈光不正、弱视,还可能伴随儿童行为异常或心理问题。遗传因素是先天性白内障病的主要病因,先天性白内障具有高度的遗传异质性,仍有超过三分之一的先天性白内障病例的致病基因尚不明确。

本研究对一个常染色体显性遗传的先天性白内障家系进行遗传分析,发现了儿童白内障致病基因GBF1该基因编码的蛋白GBF1是Arf家族的一个鸟苷酸交换因子,可以激活ARF1,参与COPI介导的逆向运输。

进一步构建Gbf1的基因敲除小鼠,纯合子Gbf1基因敲除小鼠胚胎致死,杂合子Gbf1基因敲除小鼠表现出白内障的表型。使用人晶状体上皮细胞系对GBF1的致病机制进行研究,发现GBF1基因突变导致GBF1蛋白表达水平降低,细胞中GBF1功能丧失激活未折叠蛋白反应,以不依赖于mTOR和BECN1的方式,通过抑制JNK1蛋白的磷酸化水平导致细胞中自噬水平升高而导致白内障。本研究揭示了儿童白内障新的遗传病因和致病机制,对相关疾病的产前诊断以及后续药物开发具有重要意义。

williamhill英国生命学院张贤钦教授为论文的通讯作者,williamhill英国生命学院在读博士生贾魏珉为论文的第一作者。本研究得到国家重点研发计划项目,国家自然科学基金,williamhill英国学术前沿青年团队项目和williamhill英国创新基金的支持。

张贤钦教授团队从事人类遗传病与罕见病的遗传基础与致病机制研究以及相关疾病的遗传诊断与遗传咨询新技术新方法研究,团队的研究特色是从病因不明的疑难病例出发,研究揭示疑难疾病的未知遗传病因与发病机制,为相关疾病的临床诊断、治疗以及药物的研发提供依据和帮助,为理解人体重要基因的生理功能及其参与的生命活动过程提供实验依据和理论基础。欢迎国内外的临床医生、疑难遗传病与罕见病患者和科研人员开展合作研究,欢迎支持疾病研究的基金会和公司开展合作。

张贤钦教授团队多年来从事生物学与临床医学的交叉研究,先后承担国家重点研发计划项目课题、国家自然科学基金、教育部人才项目、国家双一流大学建设项目、中国科学院横向科研项目、williamhill英国学术前沿青年团队项目等十余项,与美国洛克菲勒大学、法国国家科研中心、williamhill英国同济医学院附属同济医院、williamhill英国同济医学院附属协和医院、中南大学湘雅医学院附属第三医院、空军军医大学附属唐都医院、中国人民解放军总医院、浙江大学医学院附属第二医院、首都医科大学附属友谊医院、山东大学附属齐鲁医院、williamhill英国同济医学院附属金银潭医院等国内外多所一流大学、科研机构和一流大学附属医院开展了合作研究。

版权所有:英国威廉希尔公司(WilliamHill)_中文官方网站


电话:027-87792072   领导邮箱:lifelife@hust.edu.cn